Treating Severe Class II Deep Bite in a 12-Year-Old

Categories: Orthodontics;
Treating Severe Class II Deep Bite in a 12-Year-Old
Straight Talk draws its cases and discussions from the Orthotown message boards. Written by the editorial team with the assistance of AI, each article showcases how orthodontists tackle unusual and challenging scenarios.
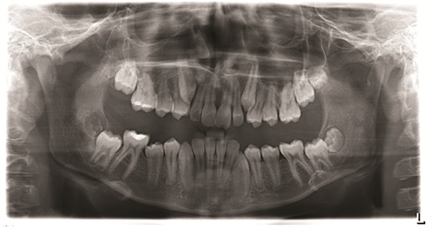
A 12-year-old male presented with severe Class II, deep bite, and significant crowding. The original poster was torn between two conflicting clinical pictures. Half the diagnostic findings pointed toward extraction: second molars impacted in the ramus, a blocked lower left canine, blocked maxillary canines, and a nearly full-step Class II relationship. The other half suggested non-extraction with vertical control to avoid deepening the bite further. The concern was that by the time crowding was resolved and the deep bite corrected, the incisors would be too flared for effective Class II correction without further proclination. The question posed to the forum was whether immediate upper first premolar and lower second premolar extractions were the best route forward (Figs. 1–11).
Treating Severe Class II Deep Bite in a 12-Year-Old
Fig. 1
Treating Severe Class II Deep Bite in a 12-Year-Old
Fig. 2
Treating Severe Class II Deep Bite in a 12-Year-Old
Fig. 3
Treating Severe Class II Deep Bite in a 12-Year-Old
Fig. 4
Treating Severe Class II Deep Bite in a 12-Year-Old
Fig. 5
Treating Severe Class II Deep Bite in a 12-Year-Old
Fig. 6
Treating Severe Class II Deep Bite in a 12-Year-Old
Fig. 7
Treating Severe Class II Deep Bite in a 12-Year-Old
Fig. 8
Treating Severe Class II Deep Bite in a 12-Year-Old
Fig. 9
Treating Severe Class II Deep Bite in a 12-Year-Old
Fig. 10
Treating Severe Class II Deep Bite in a 12-Year-Old
Fig. 11

Before treatment planning could advance, multiple members flagged the need for better diagnostic records. The buccal photographs were not diagnostic, making it difficult to assess the true occlusal relationship. A severe transverse discrepancy was evident, along with possible soft tissue or skeletal asymmetry and potential maxillary cant. One clinician recommended obtaining a cone beam computed tomography scan to properly evaluate the asymmetry before finalizing any treatment plan. Another emphasized the importance of retraining staff on proper photo protocols to avoid similar issues in future cases. The original poster acknowledged the feedback and posted updated images.

Once better records were available, opinion shifted strongly toward rapid palatal expansion as a necessary first step. Several contributors noted the obvious transverse deficiency and recommended expansion before making final decisions about which teeth to extract. Some leaned toward extracting second premolars even in a Class II case, while others preferred a non-extraction approach if feasible.

The most frequently suggested treatment involved rapid palatal expansion followed by a Herbst appliance. Several clinicians viewed this as an ideal growth modification case given the patient’s age, low mandibular plane angle, and Class II presentation. Expansion would address the transverse deficiency first, with Herbst therapy used to advance the mandible and distalize the maxillary segment while creating space for the blocked canines. Because the lower incisors were upright and the patient exhibited a low-angle pattern, contributors felt the lower arch could tolerate some proclination. Opinions varied on lower appliance design, with some recommending premolar crowns and lingual arch support to help manage canine alignment while minimizing unwanted incisor effects.

One contributor emphasized that this was not a surgical case and argued that fixed functional therapy offered a predictable approach through tooth movement. They viewed a Herbst as the most predictable way to distalize upper molars while acknowledging that the panoramic radiograph showed evidence of posterior mandibular crowding. Depending on the severity of that crowding, either upper first premolar and lower second premolar extractions or Herbst therapy could yield good results.

An alternative approach involved an intermediate phase using maxillary expansion and a lower lip bumper for five months, followed by replacement of the expander with a fixed anterior bite plate. The suggestion was that mandibular growth might occur during use of the bite plate, particularly if timed with an adolescent growth spurt. Even without forward mandibular growth, the bite plate could improve aesthetics immediately. Once the bite opened, the case could be reevaluated for potential surgery or extractions. If extractions were pursued, upper second premolars were recommended over upper first premolars to avoid unnecessary upper lip retraction and maintain better tooth size aesthetics.

The thread underscores the challenge of treating severe Class II deep bite cases in young patients where growth potential remains, but skeletal and dental findings pull in competing directions. Transverse correction emerged as a non-negotiable first step, but the decision between functional appliance therapy and extraction mechanics hinged on the severity of crowding, patient and parent preferences, and the clinician’s philosophy on managing lower incisor proclination.

In a low-angle Class II deep bite patient entering peak growth, does the presence of significant posterior crowding override the advantages of Herbst therapy, or can expansion and functional appliances still provide a viable non-extraction outcome? 

Join the Conversation!


Sponsors
Townie® Poll
Historically, which area has the most turnover in your office?
  
The Orthotown Team, Farran Media Support
Phone: +1-480-445-9710
Email: support@orthotown.com
©2026 Orthotown, a division of Farran Media • All Rights Reserved
9633 S. 48th Street Suite 200 • Phoenix, AZ 85044 • Phone:+1-480-598-0001 • Fax:+1-480-598-3450