Treating Bimaxillary Dentoalveolar Protrusion with a Fully Custom Braces System by Dr. Mehdi Peikar

Categories: Orthodontics;
Treating Bimaxillary Dentoalveolar Protrusion with a Fully Custom Braces System   

A case study in controlled retraction, soft-tissue improvement, and digitally planned extraction mechanics.


by Dr. Mehdi Peikar


Orthodontists often hear patients say they want straighter teeth. Every now and then, however, a chief complaint says much more than that. In this case, an adolescent female patient presented with a direct and revealing concern: “My teeth are pushed forward, and I can’t close my lips.” That single sentence summarized the key problem perfectly. This was not simply a crowding case. It was a protrusion case, and the treatment needed to address the face as much as the teeth.

The patient presented with bimaxillary dentoalveolar protrusion, lip incompetence, mentalis strain, increased incisor prominence, crowding in both arches, and a crossbite involving UR2. She was treated with extraction of four first premolars and maximum anchorage using the Celebrace fully custom braces system. Total treatment time was 16 months. The efficiency of treatment was supported by digital planning, reverse-engineered custom prescription, and accurate bracket positioning based on the planned final tooth positions.

This case illustrates a simple but powerful clinical principle: When the problem is protrusion, the goal is not just alignment. The goal is controlled retraction, soft-tissue improvement, and a finish that looks right not only in the mouth, but also on the face.


Patient presentation
The patient was an adolescent female in the permanent dentition who presented with the chief complaint that her teeth were too far forward and that she could not close her lips comfortably. She was treated at Fusion Orthodontics in Texas. Pretreatment extraoral photographs showed a convex soft-tissue profile, lip incompetence at rest, and clear mentalis strain on attempted lip closure (Fig. 1). The lips appeared tense rather than naturally sealed, and the prominence of the anterior dentition contributed to a fuller perioral appearance.

The smile photographs showed a pleasant smile, but the protrusive position of the incisors reduced facial harmony. Pretreatment intraoral examination revealed protrusive maxillary and mandibular incisors, increased overjet, crowding in both arches, and a crossbite involving UR2 (Fig. 1). The patient was not simply asking for straighter teeth. She wanted the teeth brought back, and that distinction shaped the treatment plan from the beginning.
Treating Bimaxillary Dentoalveolar Protrusion with a Fully Custom Braces System
Fig. 1


Diagnostic findings
Pretreatment records included extraoral and intraoral photographs, a panoramic radiograph, and a lateral cephalometric radiograph. The panoramic radiograph showed the permanent dentition with no obvious generalized pathology and acceptable root form before treatment (Fig. 2). The dentition was otherwise suitable for comprehensive orthodontic treatment.

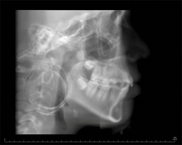
The pretreatment lateral cephalometric radiograph supported the clinical impression of bimaxillary dentoalveolar protrusion (Fig. 3). Both the maxillary and mandibular incisors were protrusive and proclined, contributing to the soft-tissue imbalance. The cephalometric picture matched the clinical one: prominent incisors, protrusive lips, lip incompetence, and mentalis strain.

Treating Bimaxillary Dentoalveolar Protrusion with a Fully Custom Braces System
Fig. 2

Treating Bimaxillary Dentoalveolar Protrusion with a Fully Custom Braces System
Fig. 3

The diagnosis:
  • Bimaxillary dentoalveolar protrusion
  • Proclined maxillary and mandibular incisors
  • Lip incompetence with mentalis strain
  • Increased overjet
  • Crowding in both arches
  • Crossbite of UR2

Treatment objectives

Treatment goals:
  • Retract the maxillary and mandibular incisors
  • Reduce bimaxillary dentoalveolar protrusion
  • Improve lip competence and eliminate mentalis strain
  • Correct the UR2 crossbite
  • Resolve crowding and align both arches
  • Improve overjet, overbite, and intercuspation
  • Maintain healthy root position and periodontal support
In protrusion cases, the mechanics must serve the face. It is entirely possible to create nicely aligned arches and still fail the patient if the incisors are not retracted enough to improve lip posture and profile. In this case, the plan had to prioritize space for anterior retraction and deliver that retraction with precision.


Treatment plan
Because the chief complaint centered on forwardly positioned teeth and inability to close the lips comfortably, the treatment plan called for extraction of the four first premolars with maximum anchorage. This approach was selected to provide the space necessary for meaningful retraction of the incisors while minimizing mesial movement of the posterior teeth.

Treatment was carried out with a fully custom metal braces system (Celebrace). The case was digitally planned before treatment began, allowing the desired final tooth positions to be established first. From that approved final arrangement, the system reverse-engineered the bracket prescription and bracket/tube design for each tooth. Once the digital setup was approved, the custom appliance was manufactured and delivered within approximately 10 days for clinical use.

Instead of relying on a standard bracket prescription adjusted during treatment, the appliance was designed around the intended endpoint. The bracket and tube positions, tip, torque, and in-out values are derived from the doctor-approved treatment plan, allowing the prescription to be customized for the biomechanics required in that case.

An additional advantage is that the base of each bracket or tube is digitally designed to match the tooth surface (Fig. 4), improving seating and positioning accuracy. When the appliance base conforms closely to the tooth anatomy and the prescription derives from the planned final arrangement, biomechanics can be expressed more predictably.

In a case requiring extraction space closure and maximum anchorage, that precision is clinically valuable. Accurate bracket positioning helps express the intended tip and torque with greater predictability, while digital planning improves control of the sequence of movement from initial alignment through retraction and finishing.

Treating Bimaxillary Dentoalveolar Protrusion with a Fully Custom Braces System
Fig. 4


Treatment progress
Fixed appliances were placed in both arches, and treatment began with initial alignment and leveling. Light archwires were used to reduce irregularity and prepare the arches for space closure. During the early phase of treatment, attention was also directed to the correction of the UR2 crossbite, which was addressed as part of the alignment phase before full anterior retraction was completed.

The four first premolars were extracted to create the space needed for retraction of the protrusive anterior teeth. Once alignment was underway, space closure mechanics were initiated with maximum anchorage. Anchorage control was the central biomechanical theme of the case. The goal was not merely to close spaces, but to use those spaces efficiently for incisor retraction.

Because the treatment had been digitally planned and the custom prescription derived from the intended final setup, the Celebrace system supported more predictable anterior retraction and finishing.

As treatment progressed, both the maxillary and mandibular incisors were moved posteriorly in a controlled manner. Overjet improved, incisor prominence decreased, and the lips gradually became less strained. One of the most satisfying parts of treating protrusion cases is that patients often feel the improvement before they fully appreciate it in photographs. As the incisors came back, lip closure became easier and more natural.

Finishing mechanics were then used to coordinate the arches, refine intercuspation, and optimize the final occlusion. The total treatment time was 16 months. That relatively efficient treatment time was supported by digital treatment planning, accurate custom bracket and tube positioning, and a reverse-engineered prescription designed specifically for the treatment objectives of the case.


Results
The final records showed clear improvement in both dental and soft-tissue relationships. Posttreatment extraoral photographs demonstrated a more balanced profile, improved lip competence, and elimination of mentalis strain (Fig. 5). The lips appeared more relaxed at rest, and the patient no longer showed the same effort to achieve lip closure.

The final smile was improved not only because the teeth were aligned, but because the dentition was no longer positioned excessively forward. That is one of the key lessons in protrusion treatment: Sometimes the greatest aesthetic improvement is not alignment alone, but the improved relationship between the teeth and the lips.

Posttreatment intraoral photographs showed resolution of crowding, correction of the UR2 crossbite, improved anterior alignment, and better overall occlusal relationships (Fig. 5). The arches were coordinated, and the extraction spaces were effectively used to retract the anterior segments.

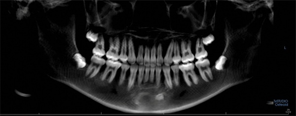
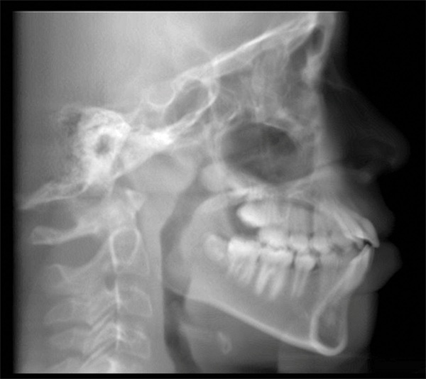
The final panoramic radiograph showed acceptable root positioning with no obvious radiographic evidence of significant adverse effects from treatment (Fig. 6). The final lateral cephalometric radiograph showed reduction in the protrusion of the incisors (Fig. 7). This reduction in incisor prominence was accompanied by a softer profile, more relaxed lips, and correction of the mentalis strain.

The key treatment outcomes included:
  • Correction of bimaxillary dentoalveolar protrusion
  • Retraction of maxillary and mandibular incisors
  • Improvement in lip competence
  • Elimination of mentalis strain
  • Correction of the UR2 crossbite
  • Resolution of crowding
  • Improvement in overjet and overall occlusion
  • Improved facial balance
Treating Bimaxillary Dentoalveolar Protrusion with a Fully Custom Braces System
Fig. 5

Treating Bimaxillary Dentoalveolar Protrusion with a Fully Custom Braces System
Fig. 6

Treating Bimaxillary Dentoalveolar Protrusion with a Fully Custom Braces System
Fig. 7


Discussion

This case is a good reminder that some of the most important orthodontic diagnoses are made before we ever trace a ceph. When a patient says, “My teeth stick out and I can’t close my lips,” the face has already told us a great deal. The records simply confirm the extent of the problem and help us plan how best to solve it.

Extraction therapy remains highly effective when used for the appropriate indication. In this patient, the combination of bimaxillary dentoalveolar protrusion, lip incompetence, mentalis strain, incisor proclination, and crowding made extraction of four first premolars the logical choice. A nonextraction approach may have aligned the teeth, but it would not have predictably solved the patient’s chief complaint.

Maximum anchorage was essential. In protrusion cases, anchorage loss can quietly steal the result. If posterior teeth drift mesially while extraction spaces close, the incisors do not retract enough, and the facial improvement becomes limited. In this case, maintaining maximum anchorage helped ensure that the extraction spaces were used for what mattered most: meaningful anterior retraction and visible soft-tissue improvement.

The fully custom design of the Celebrace system added another practical advantage. Because the treatment was digitally planned and the bracket/tube prescription was reverse-engineered from the intended final tooth arrangement, the appliance was designed to express the doctor’s planned outcome rather than a generic setup. In addition, the custom bracket and tube bases matched the tooth surfaces closely, improving the accuracy of seating and placement. In a case where precise control of tip, torque, and anchorage matters, those details are not minor.

This does not replace sound diagnosis or biomechanics. Rather, it allows sound diagnosis and biomechanics to be expressed more accurately. In this case, it helped support a 16-month treatment time and contributed to efficient, controlled correction of both the dental protrusion and the soft-tissue imbalance.

The final cephalometric and photographic records confirmed the treatment success. The incisors were less protrusive, the lips were more relaxed, and the mentalis strain was corrected. These are the kinds of results that patients feel every day, not just the kinds we admire in the records.


Conclusion
This adolescent patient with bimaxillary dentoalveolar protrusion was successfully treated with extraction of four first premolars and maximum anchorage using the Celebrace fully custom braces system. Treatment was completed in 16 months and resulted in significant reduction of incisor protrusion, improved lip competence, elimination of mentalis strain, correction of the UR2 crossbite, resolution of crowding, and improved facial balance. The case illustrates how digital treatment planning, reverse-engineered custom prescription, and accurate custom bracket and tube positioning can support efficient, controlled treatment in extraction cases where precision matters. 


Author Bio
Dr. Mehdi Peikar Dr. Mehdi Peikar is an orthodontist, innovator, and founder of Celebrace. He earned a master’s degree in quantum mechanics and condensed matter physics from the University of Illinois, a doctorate in biomechanics from Johns Hopkins University, and completed his orthodontic specialty training at UCLA. He is the inventor on more than 60 patents and has focused his career on advancing digital, fully customized orthodontic treatment systems. He also founded and invented Brava by Brius. His work centers on combining engineering, artificial intelligence and clinical orthodontics to create more precise and efficient treatment solutions.
Sponsors
Townie® Poll
Historically, which area has the most turnover in your office?
  
The Orthotown Team, Farran Media Support
Phone: +1-480-445-9710
Email: support@orthotown.com
©2026 Orthotown, a division of Farran Media • All Rights Reserved
9633 S. 48th Street Suite 200 • Phoenix, AZ 85044 • Phone:+1-480-598-0001 • Fax:+1-480-598-3450