When a Transfer Case Becomes a Different Problem Entirely

Categories: Orthodontics;
When a Transfer Case Becomes a Different Problem Entirely
Straight Talk draws its cases and discussions from the Orthotown message boards. Written by the editorial team with the assistance of AI, each article showcases how orthodontists tackle unusual and challenging scenarios.
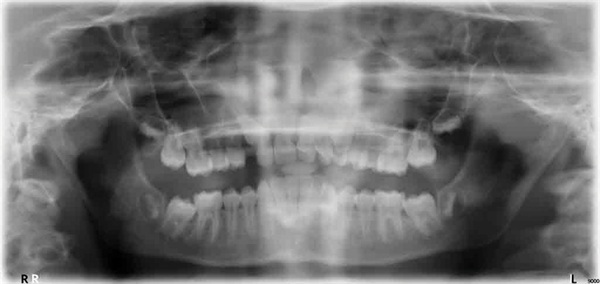
A 15-year-old female presented as a transfer patient after four years of active treatment elsewhere. Pre-treatment records taken when she was nearly 12 showed a case that appeared manageable—near-Class I occlusion, adequate maxillary arch space, and an ectopically positioned upper right canine that did not seem unusually difficult to address (Figs. 1–3). What arrived at the new practice was something considerably more complex.

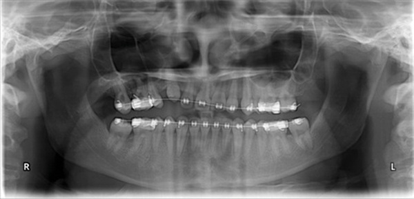
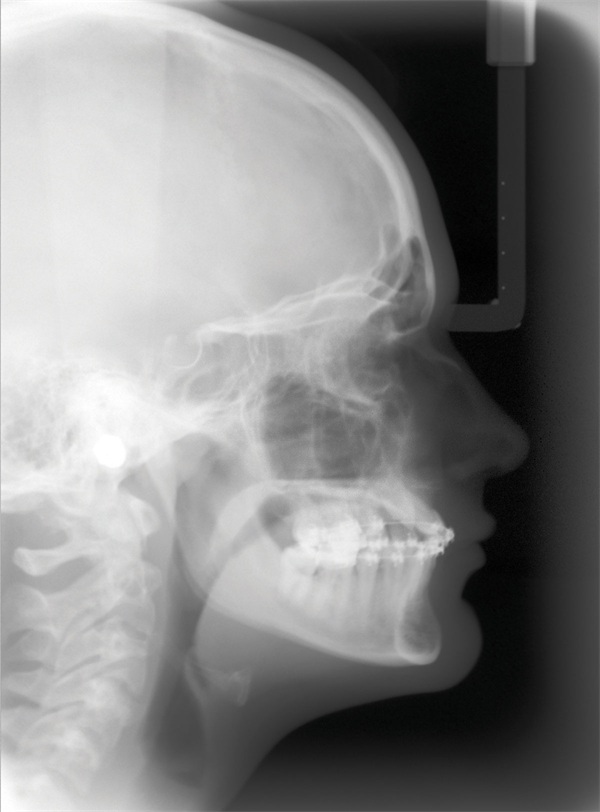
Updated records told a different story. The upper right canine remained fully unerupted, and significant adverse canting of both arches had developed on the right side (Figs. 4–6). Root shortening was visible on the upper right canine, lateral, and central incisors, likely a consequence of prior reluxation attempts to encourage eruption. The upper incisors had also become markedly more proclined over the course of treatment, a known risk when ectopic canines prove resistant to traction. Comparing the pre-treatment and current lateral cephalometric radiographs illustrated just how much incisor angulation had shifted (Figs. 2, 10). Facial photographs suggested some lower-third asymmetry with a right-side deviation, though the lower arch canting appeared to have partially self-corrected after vertical elastics were discontinued (Figs. 7–8).

The original extraction of upper first premolars drew immediate scrutiny from contributors. The patient had presented with a near-Class I relationship and adequate maxillary arch space, making that decision difficult to justify in retrospect. As one clinician noted plainly, those teeth cannot be put back. The discussion moved quickly toward what could realistically be done now.

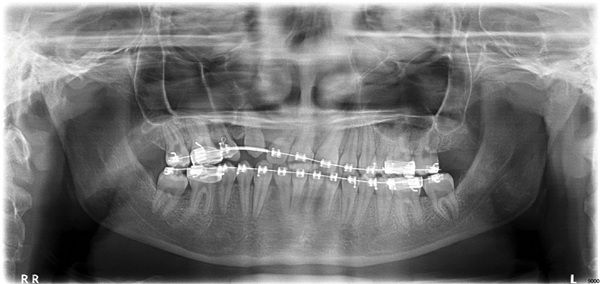
There was broad agreement on the starting point. Bracket repositioning was the first priority—bracket positions across the upper anterior segment were widely considered inappropriate for the current stage of treatment, and several contributors flagged the lower arch brackets as well. From there, the recommendation was to level and align into a heavy heat-treated stainless steel wire across the upper arch, a step that should begin correcting the cant and establish a more stable foundation before attempting canine traction. A stepped-down wire segment from the upper right second premolar to the upper left lateral incisor, combined with a piggybacked NiTi overlay tied with O-ties, would allow light continuous force to be applied to the upper right canine once the arch was better leveled. Running the lower arch in a comparable wire and using bilateral Class I triangle elastics was suggested to support canine eruption while guarding against cant recurrence on the contralateral side (Fig. 9).
When a Transfer Case Becomes a Different Problem Entirely
Fig. 1
When a Transfer Case Becomes a Different Problem Entirely
Fig. 2
When a Transfer Case Becomes a Different Problem Entirely
Fig. 3
When a Transfer Case Becomes a Different Problem Entirely
Fig. 4
When a Transfer Case Becomes a Different Problem Entirely
Fig. 5
When a Transfer Case Becomes a Different Problem Entirely
Fig. 6
When a Transfer Case Becomes a Different Problem Entirely
Fig. 7
When a Transfer Case Becomes a Different Problem Entirely
Fig. 8
When a Transfer Case Becomes a Different Problem Entirely
Fig. 9
When a Transfer Case Becomes a Different Problem Entirely
Fig. 10

The question of whether the upper right canine is truly ankylosed remains the central diagnostic unknown. Townies noted that ankylosis was probably not present at the outset but that prior surgical reluxation meaningfully increased the risk. The proposed bracket repositioning and leveling sequence would serve a dual purpose: correcting the arch form while also functioning as a clinical test. If the cant returns or a posterior open bite develops on the right side once traction is applied, that would provide strong functional evidence of ankylosis even without definitive radiographic confirmation.

If ankylosis is confirmed, the calculus shifts considerably. Several orthodontists advocated for leaving the canine in place for now, using it as an anchorage unit to mesialize the upper right buccal segment toward a Class II relationship, then planning for extraction, bone grafting, and eventual implant placement once growth is complete. A staged retreatment of the upper arch at that point could refine space and alignment for proper implant positioning. The upper incisor proclination presents a separate but related challenge. Inverting brackets on the upper anterior teeth to generate labial root torque was raised as one mechanical option, though contributors acknowledged this approach requires careful case-specific judgment.

What this case surfaces for the broader community is the compounding nature of decisions made early in treatment. The original extraction choice, the reluxation attempt, the bracket positions—each shaped what was possible at every subsequent step. Transfer cases force incoming clinicians to work within a treatment history they did not create, and the diagnostic challenge is often less about identifying the right answer than determining which options remain viable given what has already occurred.

When a transfer patient arrives with four years of treatment, an unerupted canine, arch canting, incisor proclination, and a prior surgical intervention, is the most defensible path to attempt canine eruption one more time with corrected mechanics, or does the constellation of complications make implant planning the more predictable long-term outcome, even at 15? 

Join the Conversation!


Sponsors
Townie® Poll
Historically, which area has the most turnover in your office?
  
The Orthotown Team, Farran Media Support
Phone: +1-480-445-9710
Email: support@orthotown.com
©2026 Orthotown, a division of Farran Media • All Rights Reserved
9633 S. 48th Street Suite 200 • Phoenix, AZ 85044 • Phone:+1-480-598-0001 • Fax:+1-480-598-3450