Going It Alone by Dr. Donna Galante

Categories: Orthodontics;
Going It Alone

Correcting a moderate to severe Class II malocclusion using clear aligners with mandibular advancement features instead of elastics


by Dr. Donna Galante


Minimizing the use of elastics in Class II treatments not only addresses a patient compliance concern, it also addresses a treatment efficiency concern. The vertical force component of Class II elastics tends to extrude teeth, which redirects mandibular growth in a vertical direction and makes the A-P correction less efficient. Avoiding clockwise rotation of the mandible (i.e., downward and backward) helps to keep mandibular growth along a horizontal trajectory to maximize the sagittal change.

Invisalign treatment with mandibular advancement (Fig. 1) uses integrated precision wings to advance the mandible without the use of interarch elastics. The wings in the lower aligners position the mandible forward by sliding against the wings in the upper aligners. At the same time, the active portions of the aligners straighten the teeth and coordinate the arches to remove interarch interferences and stabilize the sagittal changes. This approach maximizes the horizontal component of the mandibular advancement and minimizes unwanted vertical changes (Fig. 2).
Galante Clear Aligners
Fig. 1: Intraoral view of Invisalign treatment with mandibular advancement.
Galante Clear Aligners
Fig. 2: Horizontal mandibular development (green arrow) has a greater amount of sagittal change than mandibular development, which contains a vertical component (blue arrow).

Case report

PATIENT INFORMATION:
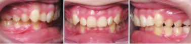
  • 14-year-old boy.
  • Chief concern: overbite and crowding.
  • Orthodontic diagnosis:
    • Right side: Class II molar and canine (moderate).
    • Left side: Class II molar and canine (severe).
    • Overbite: severe deep bite.
    • Upper arch: moderate crowding, with retroclined incisors.
    • Lower arch: moderate crowding.

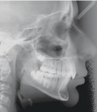
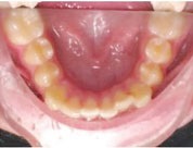
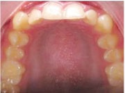
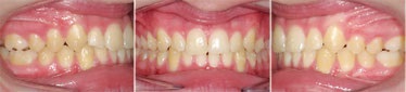
Figs. 3a-g: Initial records.
Galante Clear Aligners
Fig. 3a
Galante Clear Aligners
Fig. 3b
Galante Clear Aligners
Fig. 3c

Galante Clear Aligners
Fig. 3d
Galante Clear Aligners
Fig. 3e
Galante Clear Aligners
Fig. 3f
Galante Clear Aligners
Fig. 3g

Galante Clear Aligners
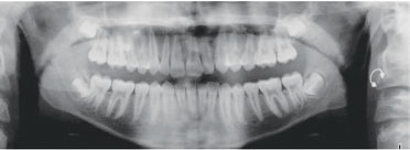
Fig. 4
Galante Clear Aligners
Table 1: Initial key cephalometric values.

Treatment
Galante Clear Aligners
Fig. 5: How the precision wings (in blue) appear in the ClinCheck treatment plan setup.
Galante Clear Aligners
Fig. 6: Three-month progress records, with weekly aligner changes.

Galante Clear Aligners
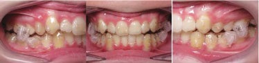
Fig. 7: Six-month progress records, with weekly aligner changes. Class I molar and canine relationship was achieved, but the transverse and posterior vertical dimensions still needed correction.
Galante Clear Aligners
Fig. 8: End of mandibular advancement phase, with weekly aligner changes for 12 months. (Upper and lower: 23, then 26, each.)

Galante Clear Aligners
Fig. 9: Midtreatment cephalometric superimposition.
Galante Clear Aligners
Table 2: Key cephalometric values after mandibular advancement.

Final treatment
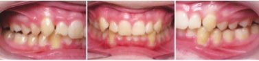
  • Total treatment time: 22 months.
  • Premandibular advancement aligners: Not used in this case. (See next section.)
  • Mandibular advancement aligners: 23 and 26 upper and lower, changed weekly (12 months).
  • Additional aligners: 25 upper and lower, changed weekly (10 months).
  • Retention: Retainers 16 hours a day for six months, then at night for life.

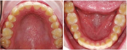
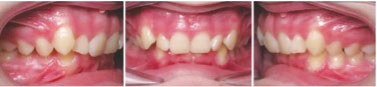
Figs. 10a-b:Final results after an additional 10 months in aligners, changed weekly. (Upper and lower: 25 each.)
Galante Clear Aligners
Fig. 10a
Galante Clear Aligners
Fig. 10b

Galante Clear Aligners
Fig. 11: Key cephalometric values.
Galante Clear Aligners
Table 2: Final cephalometric values



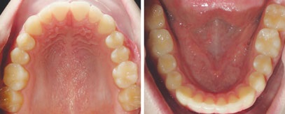
Figs. 12a-d: At follow-up observations one year after treatment, the patient demonstrates stability in overjet, molar and canine class, and soft-tissue profile convexity. Interdigitation of posterior teeth is excellent. Tooth #25 has moved slightly lingually because of inconsistent retainer wear.
Galante Clear Aligners
Fig. 12a
Galante Clear Aligners
Fig. 12b

Galante Clear Aligners
Fig. 12c
Galante Clear Aligners
Fig. 12d


Figs. 13-15: Cephalometric superimpositions: Black = initial, red = final.
Galante Clear Aligners
Fig. 13: General superimposition (cranial base at sella) shows mostly downward maxillary growth, with the mandible moving downward and forward.
Galante Clear Aligners
Fig.14: Maxillary superimposition shows that positive upper incisor torque was achieved.
Galante Clear Aligners
Fig.15: Mandibular superimposition shows that leveling of the curve of Spee was achieved through molar eruption and mild proclination of the lower incisors.


Discussion

Removing anterior interferences was important for maximizing the correction of the sagittal dimension, and expansion of the upper arch was critical for preventing posterior crossbites from forming as the mandible came forward. When the upper arch is constricted, the posterior teeth are unable to interdigitate fully because of premature posterior contacts as the mandible advances. Widening the upper arch form removes these interferences so the lower posterior teeth can fully seat against the upper teeth. By doing this, mandibular plane divergence is avoided and the horizontal component of the sagittal correction is maximized. The deep bite is also improved when the mandible is advanced downward and forward.

In the additional aligner phase, the goal was to continue leveling the curve of Spee by intruding the lower incisors. Anterior interferences after Class II correction can lead to a mild posterior open bite. By intruding the incisors to remove these interferences, interdigitation of the posterior teeth is restored. To help stabilize A-P correction during this phase, the patient wore Class II elastics (4-ounce, 3/8-inch diameter) connected to precision cuts in the aligners near the upper canines and lower first molars. Elastics were worn for 10 to 12 hours a day (typically at night only) for three months.

The sagittal improvement and the amount of upper incisor torque achieved were both good (ΔANB = –3.5 degrees and ΔU1-SN = +10 degrees, respectively). The final upper incisor position was aesthetically pleasing but slightly undertorqued relative to orthodontic norms (U1-SN = 92.8 degrees), so additional incisor inclination might have allowed the mandible to advance a bit more.

Avoiding excessively proclined lower incisors was an important factor in successfully correcting the Class II, especially because a mild tooth-size discrepancy was also present. If the lower incisor torque control had been poor, the amount of sagittal correction achieved could have been significantly reduced because of incisor interferences.

Excellent vertical control was maintained throughout treatment (ΔFMA = –10.5 degrees), even with the use of Class II elastics during additional aligners, in large part because extrusive forces on the posterior teeth were kept to a minimum. Not opening the mandibular plane angle allowed the horizontal component of the mandibular advancement to be maximized, to establish a solid Class I relationship at the end of treatment.


Summary
Overall thoughts and learnings about how to be successful using the mandibular advancement feature
  • If a deep curve of Spee is present, a lateral/posterior open bite will often appear when the mandible advances. Removing anterior interferences early allows the mandible to come forward gradually, into a comfortable and stable position. To help identify anterior and transverse interferences with the potential to create a lateral open bite, the patient can be asked to posture their jaw forward into a Class I canine relationship during the initial consultation. This should reveal anterior interferences and areas of arch constriction that need to be addressed in the aligner setup.
  • If the patient has significant anterior interferences, a premandibular advancement phase of aligners (included as part of Invisalign treatment with mandibular advancement) is highly recommended so lingual root torque/ buccal crown torque can be introduced to the upper anterior teeth early. Premandibular advancement aligners can also be used to widen the upper arch form, rotate the upper molars distally (typically up to 20 degrees), and level the curve of Spee.
Case selection recommendations when starting to use this feature
  • Growing children—particularly those with mandibular retrognathia—are best treated with mandibular advancement. Ideal patients are those with hyperdivergent growth patterns. Start with mild to moderate Class II, Division 1 patients.
  • Severe Class II patients can be considered once the doctor becomes familiar with the clinical steps and processes associated with the precision wings feature.
Which conditions are favorable (and unfavorable) for treatment using this aligner feature
Creating adequate anterior clearance early is the key to successful sagittal correction. Retroclined upper incisors and flared lower incisors should be addressed as soon as possible. It is also very important to level the curve of Spee early to give sufficient time for the mandible to advance. If anterior interferences are present, the mandible may not reach its maximum forward potential and, without a leveled curve of Spee, a lateral open bite may appear.

What was learned from treating this particular case
  • Using precision wings instead of Class II elastics removes the unpredictable variable of patient compliance with elastics wear for Class II correction. If elastics are needed, they are only used for a short period of time during the additional aligner phase, to help stabilize and fine-tune the sagittal correction. The precision wings were convenient to use and comfortable for the patient, and they did not compromise the key aesthetic benefit of clear aligners. The patient’s oral hygiene and aligner wear compliance were both excellent throughout treatment.
  • Anterior interferences from toothsize discrepancies are typically resolved by slenderizing the lower incisors or by building up the upper lateral incisors with cosmetic bonding or veneers. Anterior interferences from tooth-size discrepancies can also be avoided by controlling the lingual root torque of the incisors and by carefully leveling the curve of Spee. In this patient, the mild tooth-size discrepancy was successfully managed by establishing proper lingual root torque of the incisors and by complete flattening of the curve of Spee.
Common challenges/problems experienced during teen treatment with this aligner feature
If adequate anterior clearance is not initially present, consider spending three to six months to remove any protrusive interferences first. A brief premandibular advancement phase of aligner treatment (an included option with Invisalign treatment with mandibular advancement product) is an effective solution for leveling the curve of Spee, torqueing the upper incisors and rotating the upper first molars into an ideal arch form. If the lower incisors are flared to begin with—in this patient, they were not— the premandibular advancement aligners can also be used to upright and intrude them.


Postcase updates
Since I finished this mandibular advancement case, Invisalign has redesigned the precision wings for greater rigidity and improved engagement in treating Class II growing patients. I’m thrilled our practice can offer this appliance to our growing patients.

The posterior and lateral open bites we see after the mandibular advancement phase are no different than what would typically be seen during other functional appliance treatments. As such, the posterior open bite observed after the mandibular advancement phase in patients with deeper curves of Spee is also not uncommon, and Class II elastics connected to bonded buttons can be used to help extrude the posterior teeth to close the bite.

Opening of the posterior occlusion occurs when the curve of Spee is not completely leveled when the mandible is advanced to Class I. Intruding the anterior teeth and extruding the posterior teeth with elastics during the additional aligner phase is the approach we usually take to close these open bites. Sectioning the transitional aligners to allow for settling of the posterior occlusion before the additional aligner phase is also an option.


Author Bio
Donna Galante Dr. Donna Galante is a board-certified orthodontist in private practice for more than 37 years. Galante received her dental degree and specialty certification from the University of Pennsylvania School of Dental Medicine. She and her spouse, fellow orthodontist Dr. Paul Cater, practice in Northern California and Nevada and treat 80% of their patients with Invisalign clear aligners. Galante is a field clinical education liaison for Align Technology, and in 2016 was named Invisalign Educator of the year. She is also an author and coauthor of eight best-selling books

 
Sponsors
Townie® Poll
What percentage of your treatments involve traditional ortho (brackets, wires, etc.)?
  
The Orthotown Team, Farran Media Support
Phone: +1-480-445-9710
Email: support@orthotown.com
©2025 Orthotown, a division of Farran Media • All Rights Reserved
9633 S. 48th Street Suite 200 • Phoenix, AZ 85044 • Phone:+1-480-598-0001 • Fax:+1-480-598-3450