The Architects of the Lips: Part 4 by Dr. Chad Foster

Categories: Orthodontics;
The Architects of the Lips: Part 4

Lips forward


by Dr. Chad Foster


In Part 2 of this series (Orthotown, January/February 2026), I shared two cases demonstrating how maxillary incisor retraction can significantly improve lip aesthetics. In Part 3 (Orthotown, March 2026), two additional cases illustrated how the amount of incisor retraction in each unique case can dramatically influence lip projection and overall facial balance. As previously stated, in the world of facial aesthetics, every millimeter matters.

Here in Part 4, I present a case in which a purposeful decision was made to modestly advance the A-P position of the maxillary incisors to enhance the patient’s macro-aesthetic (facial) and mini-aesthetic (smile) features.

Unanimity is extremely rare in our profession (which I view as a great thing). However, before diving into this case study, I hope we can all agree on three simple statements:
  • The A-P position of the lips is one of the most important traits in facial aesthetics.
  • Retraction of the maxillary incisors can retract the A-P position of the lips.
  • Proclination of the maxillary incisors can advance the A-P position of the lips.
The Architects of the Lips: Part 4
Fig. 1

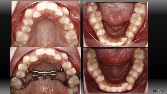
Rylee was 14 years old when she and her mom presented with a chief complaint of crowding (Fig. 1). Rylee was mildly retrognathic and presented with a Class I occlusion. Anatomically it was her lack of a chin button that really compounded the mild retrognathia to show a very deficient chin projection overall. Both arches were very crowded and she had what I would grade as thin lips. She did not show a posterior crossbite, but her maxilla appeared more narrow than ideal and the mandibular posterior teeth showed excess lingual compensation/exaggerated Curve of Wilson. Her chin projection was discussed in the exam room and she and her mom declined orthognathic and genioplasty options.

For Rylee, as with all my patients, I set my treatment goals from outside-in, and that began with her macro/facial aesthetics. In her case, high priority was given to her lips. Given the aesthetic inclination of the upper incisors (lacking ideal torque) and paired with the thin lips, my preference was to see the upper incisors roll forward slightly so that the lower two-thirds facial surface was perpendicular to Frankfort horizontal plane (Fig. 2).
The Architects of the Lips: Part 4
Fig. 2


It is important to understand that the labiolingual inclination is independent of the A-P position of the upper incisors. A more ideal positive labiolingual angle of the upper incisors could be achieved regardless of whether the teeth are advanced or retracted in terms of A-P. A more ideal inclination could be achieved if we took out teeth or if we didn’t, but the difference between those two plans is where the incisors are positioned in the A-P. For someone with thin lips like Rylee, that can be quite consequential in regard to lip position and appearance.

After considering her macroaesthetics, we next looked at her mini/smile aesthetics. In the side smiling photograph (Fig. 3) I felt that in addition to the lack of positive torque, her upper incisors lacked ideal aesthetic projection forward (A-P) within her smile.
The Architects of the Lips: Part 4
Fig. 3

Next, we considered micro/tooth aesthetics and occlusion. If our treatment goal is to advance the A-P position of her upper incisors to benefit her lip position and her upper incisor aesthetic projection within her smile, this demands that the lower incisors will be proclined/rolled forward as well to properly couple with that new forward position of the uppers. When considering changes in lower incisor position, visualizing the mandibular alveolar housing can be valuable. Looking at CBCT images (Fig. 4), she had what I would grade as a thicker type of alveolar housing in the mandibular arch. The possibility of her periodontally tolerating that proclining/rolling forward of her lower incisors was reasonable to me.1
The Architects of the Lips: Part 4
Fig. 4


We initially began with an RPE. Caplin hooks were bonded to the lingual of the L6s and nighttime 3/16 heavy elastics were worn from these hooks to the buccal hooks of the U6s to upright the L6s to keep track with maxillary expansion. I have written much about this technique previously (Fig. 5).

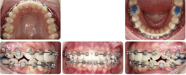
Figure 6 shows progress records midway through her treatment after braces were bonded. Bite turbos were placed posterior on the molars because I wanted to limit any vertical increase in this case as that would have the potential of further decreasing chin prominence. Posterior bite turbos used to limit molar eruption and clockwise mandibular rotation are quite important in chin-deficient patients. Upper incisor brackets were not flipped to reverse torque in this case as I desired the upper incisors to roll forward a bit like we discussed earlier. Approximately 0.3 mm of IPR was performed at each contact canine to canine in both arches.

The Architects of the Lips: Part 4
Fig. 5

The Architects of the Lips: Part 4
Fig. 6

Figure 7 shows final records as treatment finished in 24 months. Notice in Figures 8 and 9 that the upper incisors rolled forward to a more ideal labiolingual inclination during this treatment.
The Architects of the Lips: Part 4
Fig. 7

The Architects of the Lips: Part 4
Fig. 8
The Architects of the Lips: Part 4
Fig. 9


In Figure 10, notice her lips and in particular the fullness and increased vermilion display of her lower lip (which rests on the labial surface of the now more forward maxillary incisors).
The Architects of the Lips: Part 4
Fig. 10


Notice in Figure 11 the slightly more forward “projection” of her maxillary incisors within her smile. As you look at this photo, would you desire her upper incisors to be any degree further retracted from where they ended up within this face? Even a millimeter?
The Architects of the Lips: Part 4
Fig. 11


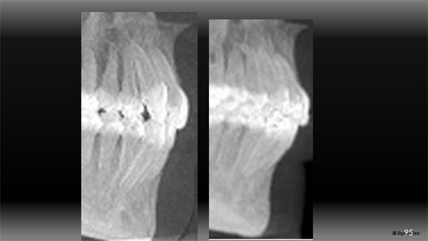
Figure 12 shows that the lower incisors also rolled forward within her thick alveolar housing to couple with this more forward position of her maxillary incisors (pre-tx on the inside, post-tx on the outside). If she had a thinner type of housing, it might have impacted my tolerance for this movement.

The Architects of the Lips: Part 4
Fig. 12

There are obviously many ways to treat this case and I don’t present my way as the best or only way to treat Rylee. Her orthodontic treatment could have been done well without advancing her upper incisors or even by way of extracting permanent teeth. Treatment goals set the course and those vary greatly. For me, it started by looking outside-in and appreciating her lips and what was possible to enhance their presentation, noticing a deficiency in the aesthetic A-P projection of her upper incisors in her smile, and then visualizing her mandibular housing via CBCT to assess how this occlusal change might be tolerated.

Finally, I ask you to look again at Figure 10. If you are not routinely looking at the lips of your patients before and after treatment, the change for Rylee here might not mean much to you and that’s ok. My intention is not to convince you that this type of lip change is important or to change your view on facial aesthetics. As practitioners, we are free to dictate our own aesthetic goals to our patients as we please. As a profession, we can choose to reject the growing evidence that our patients do in fact place a very high value on this type of lip change. We can choose to ignore the primary role that we as orthodontists play in the lip presentation of many of our patients. I hope we will not and I hope that, within reason given each unique case, we can evolve our aesthetic goals to what is favored by and what is possible for the patients that we serve. 


Reference

1. BMC Oral Health. 2025 Sep 2;25:1397. Doi:10.1186/sI2903-025-06751-3


Author Bio
Dr. Chad Foster Dr. Chad Foster is Orthotown’s editorial director, a board-certified orthodontist and owner of Butterfly Orthodontics in Phoenix. A graduate of Chapman University, he earned a Doctor of Dental Surgery and a master’s degree in craniofacial biology and completed his orthodontic residency at the University of Southern California. Foster writes and lectures internationally on the topic of orthodontic aesthetics.



Sponsors
Townie® Poll
Historically, which area has the most turnover in your office?
  
The Orthotown Team, Farran Media Support
Phone: +1-480-445-9710
Email: support@orthotown.com
©2026 Orthotown, a division of Farran Media • All Rights Reserved
9633 S. 48th Street Suite 200 • Phoenix, AZ 85044 • Phone:+1-480-598-0001 • Fax:+1-480-598-3450